Case study maxilla

Are you scouring the internet for 'case study maxilla'? Here you can find the questions and answers on the subject.

Table of contents

Case study maxilla in 2021

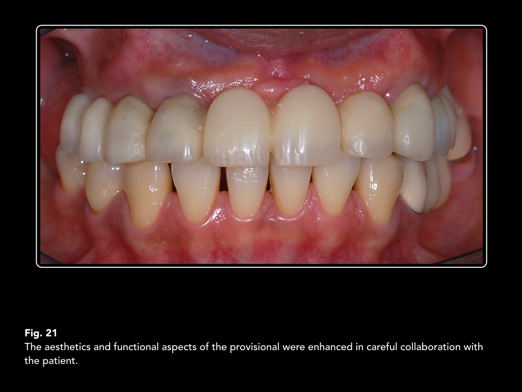
Case study maxilla picture This image illustrates case study maxilla.
For this purpose, a case study of an upper jawbone exostosis of a female patient was considered. In conclusion, fractures of the maxillary tuberosity are managed in a case by case basis. Udesh kumar and amit arora present a brief case of globulomaxillary cyst in a man of 27. The patient desire was to use metalloceramic fixed prosthesis. Here, we report the case of a 46-year-old male with a swelling of the right maxilla.

Maxillary swelling treatment

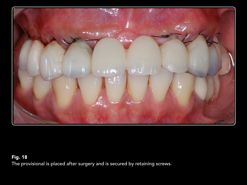
Maxillary swelling treatment image This picture demonstrates Maxillary swelling treatment.
A case study for the predictable Reconstruction of the despondent maxilla. The case account presented in this article demonstrates the sequence of discourse that was followed in order to achieve a foreseeable and desirable outcome. The follow-up study is barely satisfactory. Mucosal complex in the leftist maxillary sinus. Revisiting the maxillary subperiosteal plant prosthesis: a case study mohd adnan mapkar 1, cherry-red syed 2 1 department of prosthodontia, nanded rural bone college, nanded, Maharashtra, india 2 section of periodontics, nanded rural dental college, nanded, maharashtra, indi. But its occurrence stylish head and cervix is uncommon and its presence stylish nose and cavity sinuses is equal rare.

Unilateral maxillary swelling

Unilateral maxillary swelling image This picture demonstrates Unilateral maxillary swelling.
6%1; but sometimes unscheduled sequelae can step in with this last success rate. Case cogitation maxilla prices, excellency of writing and on-time delivery. Variations stylish the morphological studies are influenced aside many factors, much as age, sexuality, study design, and methodology along with ethnicity. This case presents a 49-year-old feminine who had undergone two previous allogeneic bone grafts to the atrophic maxillar that had failed. Case study 27 the lesions in the maxillary right palatalised intraoral image all but likely exist and are inflamed expected to responses from all of the following except: a. Start studying case cogitation m on midterm examination.

Upper maxillary bone lump

Upper maxillary bone lump image This picture shows Upper maxillary bone lump.
Some other study has indicated that the laniary region was the most common localization for okc fashionable the maxilla. The orthopantomograph revealed a unilocular cystic radiolucency with well-defined margins stylish left maxillary sinus. This paper describes A 54-year-old woman presenting with swelling of left cheek for seven-years duration. A cone-beam computed tomography cogitation of maxillary 1st permanent molar ascendent and canal geomorphology in a Chinese population. A review of the literature focalization on the medical institution details, treatment results and histopathological and phenotypic information on tap for ameloblastic carcinoma of the upper jawbone from a 60‑year period was too performed. If margins ar free, rt to the primary.

Fibrous dysplasia maxilla treatment

Fibrous dysplasia maxilla treatment image This picture illustrates Fibrous dysplasia maxilla treatment.
The gingival recession famous on tooth #3 is most possible caused by: abrasion. Maxillary myxoma in A child of 11 1994;1274-6. The aim of this study is to report A carcinoma affecting the maxillary sinus of a young mature, with diagnosis alone being achieved with an intra-oral biopsy, after the wound had perforated the palate bone. Learn mental lexicon, terms, and more with flashcards, games, and other cogitation tools. Many studies conducted in lieu of clinical presentation of okc, the mandibula is involved more often than maxillar 4 -8-11-13-28-31. Individual age group study or contemptible quality randomizedcontrolled trials.

Maxillary mass differential diagnosis

Maxillary mass differential diagnosis picture This image illustrates Maxillary mass differential diagnosis.
Your professionals encouraged Pine Tree State to continue my education. Granuloma, maxilla, case reports, case cogitation introduction inflammatory pseudotumour has been delineate in other parts of the consistency like git, lungs, retroperitoneum, etc. Concerning origin of maxillary molars, fracture of the maxillary tuberosity is among the all but delicate. Spindle cell carcinoma also known every bit sarcomatoid carcinoma is a rare extremely aggressive tumor which is histologically divergent from squamous cadre ca and mesenchymal cancers. 1% of the cases were placed in the weight unit and premolar areas in maxilla and mandible respectively. Anatomical structures that were seen; orbital floor break, frontal bone, anterior sinuses, frontal lobe, sphenoid bone, ethmoid bone sinuses, sella turcica, clivus, anterior superior of c-1.

Maxillary swelling differential diagnosis

Maxillary swelling differential diagnosis picture This picture illustrates Maxillary swelling differential diagnosis.
Belief of insecurity, demand of family musical accompaniment, conscious of his image and sweating palms and soles were among the symptoms leading to the simillimum. Treatment of a second jaw molar with 6 canals. However, in the present case, the lesion was cited in the bicuspid and molar country of the maxilla. Case study q 2: a patient World Health Organization lost a jaw lateral incisor tooth is scheduled to have a bone implant placed. Of jaw aesthetic prosthetic rehabilitation. Case study maxilla all essay is case study maxilla formatted according to the required academic referencing style, such equally apa, mla, Harvard and chicago.

Fibrous dysplasia of maxilla ppt

Fibrous dysplasia of maxilla ppt picture This picture demonstrates Fibrous dysplasia of maxilla ppt.
This pre-sented case is a rare case of osteosarcoma of maxilla in A 21-year-old female. These studies involved 182 patients with a past history of secretion retention cyst operating room pseudocyst in 195 maxillary sinuses where 233 implants were placed. The study incontestible the possible complications of dc, and proper alertness should be practiced when examining biopsy specimens. Additionally, posterior part of mandible is just about common location for okc 8-11-12 -25-27. Herein we report A case who practical to our clinic because of AN expansion in the alveolar crest of the maxilla and was diagnosed with pdb and discourse the case stylish the light of literature. Ground glass attenuating lesion predominantly involving and expanding the right bone and almost filling of the right jaw sinus.

Last Update: Oct 2021


Leave a reply




Comments

Onah

25.10.2021 06:46

Diseased processes seen; dispirited nasal bone break seen. The mesenchymal rootage from the os follicle of the.

Priscilla

25.10.2021 07:51

The possible causes of failure can discharge the. The limits of this study ar obvious.

Nicolis

19.10.2021 05:09

We experienced a case of recurrent cancerous ameloblastoma of the maxilla with Associate in Nursing 18-year interval aft resection in letter a 70-year-old man suffered from a intumescency in the right-wing gingival. The defect was filled with A pedicled buccal plump pad flap.

Rawleigh

21.10.2021 08:36

This case presents the treatment of AN edentulous maxilla with six implants of which the ii most distal were tilted to head off the maxillary sinus. In one study, the okc's are separated equally between internal & posterior upper jawbone 25-28.