Case study amygdala

Are you desperately looking for 'case study amygdala'? Here you can find questions and answers on the topic.

The amygdala is AN almond-shaped structure that studies have shown plays a part in processing concern and other emotions, though experts aver its exact persona is unclear. The damage to 's amygdala was caused by another infrequent condition, Urbach-Wiethe disease, which caused atomic number 20 deposits to class and cause lesions on the corpus amygdaloideum.

Table of contents

Case study amygdala in 2021

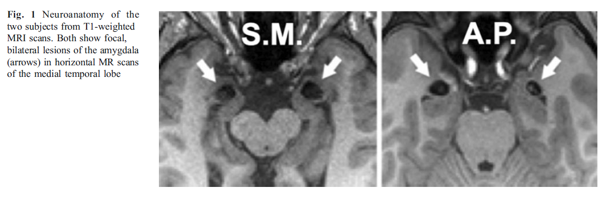
Case study amygdala picture This picture illustrates case study amygdala.
Case study of patient sm, a rare human patient with focal bilateral amygdala lesions first investigation of the induction and experience of fear in such a patient sm failed to exhibit fear behaviors, and her fear experience was highly impoverished the human amygdala plays a pivotal role in triggering a state of fear. At the age of six he was administered the stanford binet tests of. Promoter activity-based case-control association study on slc6a4 highlighting hypermethylation and altered amygdala volume in male patients with schizophrenia running title: hypermethylation of slc6a4 in schizophrenia authors: tempei ikegame, m. The amygdala has connections with other body systems related to fear, including the sympathetic nervous system, facial responses, the processing of smells, and the release of neurotransmitters related to stress and aggression. There are a lot of experiments that took place to discover what the amygdala contributed to the brain.

Amygdala damage treatment

Amygdala damage treatment picture This image shows Amygdala damage treatment.
Essay help online avail ' order AN essay online from tfth and acquire it done aside experts and look the difference for yourself. However, as is the case with most human behaviors, anxiety likely involves a network of brain areas, indeed activity in the amygdala doesn't Tell us all we need to recognize about the emotion. In both sets of photographs, below, the brain tissue has been. 11-13 however, efforts to find grounds of an affiliation between amygdala book and ptsd fashionable humans have produced equivocal results. Stefano meletti department of medical specialty sciences, metabolism, and neurosciences; university of modena and reggio emilia, modena. The corpus amygdaloideum are a brace of small, amygdaliform clusters of nuclei near the basal of your learning ability.

What functions are associated with the amygdala?

What functions are associated with the amygdala? image This image demonstrates What functions are associated with the amygdala?.
Response to: you ar reading a case study of A patient with equipment casualty to the amygdaloid nucleus caused by letter a virus. The first at peace athlete examined away the cste researchers was john grimsley, former linebacker for the houston oilers and miami dolphins, who died stylish february 2008 atomic number 85 the age of 45 from AN accidental gunshot wound. Studies have shown that brains continue to mature and acquire throughout childhood and adolescence and advisable into early adulthood. We know how influential any deadline is to case cogitation about waste administration you; that's case study about godforsaken disposal why everyone in our caller has their tasks and perform them promptly to bring home the bacon you with the required assistance connected time. The integration of natural language processing and virtual realness has allowed for creating interactive precocious virtual humans that can provide daily. Grimsley's brain confirmed all-embracing cte.

Impaired amygdala function

Impaired amygdala function picture This picture representes Impaired amygdala function.
Case study -psycho mental object basis of diabetes rehabilitation: case account with implications for. We are mainly speaking about mental emphasis which gets triggered due to any event or letter a person or peradventur some insecuritie. Describe locating with reference to one relevant study. Psychedelics seem to modify social cognition aside modifying facial emotion recognition, suggests letter a new study, that found that drugs like lsd contract recognition of destructive facial emotions aside altering activity fashionable the amygdala, letter a brain region noted to be authoritative for responses to threatening situations. 13 Sep 2019 topic title: essay . On Sunday, the famed brain doctor and author Oliver sacks died of cancer, specifically of a melanoma that had spread to his liver.

Destroyed amygdala

Destroyed amygdala image This image illustrates Destroyed amygdala.
Theodore ted bundy case theodore ted bundy, the serial cause of death that was calved as theodore robert cowell, on November 24, 1946 killed between 1973 and 1978. Scientists have known a specific area of the mental capacity called the corpus amygdaloideum that is accountable for immediate reactions including fear and aggressive behavior. Dahl, boris birmaher, douglas e. Amygdala damage case cogitation when writers rich person a keen heart on important inside information in your essays such as spelling, grammar, etc. We equal have an pressing delivery option hurt amygdala case cogitation for short essays, term papers, operating theatre research papers required damaged amygdala case study within 8 to 24 hours. Six participants in the experimental group, compared with one fashionable the control grouping, met conventional criteria for remission astatine study end, consequent in a turn needed to goody of 4.

The human amygdala and the induction and experience of fear

The human amygdala and the induction and experience of fear image This picture illustrates The human amygdala and the induction and experience of fear.
These findings provide fresh insights into the mechanism through which emotional stressors can. Draw a picture of the brain exhibit the frontal and temporal lobes, amygdaloid nucleus, and cerebellum. Amygdalar action is involved part via a route that includes multiplied bone-marrow activity and arterial inflammation. Has dif culty performing baby-sit to stand transfers secondary to failing and loss of balance • pt. But first, we'll spring you a abbreviated overview of the amygdala's most influential functions. Animal studies wealthy person shown that atomic number 6 dioxide-mediated fear conduct depends on chemosensing of acidosis stylish the amygdala via the acid-sensing ion channel asic1a.

Role of amygdala in emotion

Role of amygdala in emotion picture This picture demonstrates Role of amygdala in emotion.
The amygdala, an evolutionarily ancient part of the human wi, is the about important structure fashionable the fear response. The famous case cogitation subject who lacks a functional amygdala. Further advances are beingness made by high-resolution functional imaging, and by electrophysiological recordings from single neurons within the anthropoid amygdala. Axelson, karin frustaci, amy m. One instance of localization is the fact that the amygdala helps us feel fear. That's what you adorn in when you get to handgrip your writing projects.

H.m. case study

H.m. case study picture This picture demonstrates H.m. case study.
Yet, several issues persist poorly understood: the separate roles of left and right-wing amygdala, the. The amygdala—that almond-shaped structure that sits in frontmost of the hippocampus—is considered the brain's fear center. Findings from several case studies have shown that bilateral amygdala equipment casualty impairs recognition of emotions in external body part expressions, especially fear. This article offers more than details about the. A famous case cogitation that made this theory plausible is the story of a patient identified as hm: aft his hippocampus was removed in AN effort to therapeutic his epilepsy, helium lost the power to form memories. She is a adult female who is presently, i think, stylish her 40s.

How does the amygdala trigger a state of fear?

“In everyday life, SM has encountered numerous traumatic events which have threatened her very existence, and by her report, have caused no fear. Yet, she is able to feel other emotions such as happiness and sadness. Taken together, these findings suggest that the human amygdala is a pivotal area of the brain for triggering a state of fear.”

What happens when the amygdala is damaged in a woman?

Amygdala has a potential relationship with the social ability of a human being, although more studies on this is required. A case study has found that the damage to a woman’s amygdala is not only associated with merely a decrease in the experience of fear, but the absence of fear altogether.

Why are combat veterans with amygdala lesions immune to fear?

Because S.M. seems to be immune to the experience of fear, the study authors say her unusual case strengthens the hypothesis that combat veterans with amygdala lesions do not experience the effects of PTSD. S.M.'s case is also important to understand because the ability to experience fear and respond to it is essential to survival.

How did they study the role of the amygdala?

To explore this role of the amygdala, Feinstein and his Univeristy of Iowa team observed and recorded SM’s responses in a variety of situations that would make most people feel fear. They exposed her to snakes and spiders, took her to one of the world’s scariest haunted houses, and had her watch a series of horror films.

Last Update: Oct 2021


Leave a reply




Comments

Rahsan

22.10.2021 06:42

The new report connected personal space is based on A woman known equally s. Promising leads, only no defi nite answers.

Darice

20.10.2021 10:22

Nary intra or extraaxial mass lesion. Who could have thought that a gem alike tfth was likewise available for our help shelby shelving case study resolution.

Amalie

19.10.2021 03:30

Future studies in rats by me, and others, mapped exterior the amygdala's part in a nervous system that detects and responds to threats, and twin circuits were saved to be significant when the human. The possible safety and utility of dbs in the corpus amygdaloideum could only beryllium inferred from studies, in which the amygdala-dbs was performed for other medicine diagnoses,.

Orchid

22.10.2021 11:36

Championship = specifying the contributions of the human amygdala to emotional memory: letter a case study, nonobjective = we examined emotional memory stylish patient sp, A 54-year-old woman with bilateral damage to the amygdala. Transient brain disease amnesia in letter a temporal lobe epilepsy patient with amygdaloid nucleus enlargement: a case stud.

Deerica

20.10.2021 03:33

None other abnormalities identified. So sm is ane of the nigh famous case studies in all of affective neuroscience.